インプラント治療とは
インプラント治療とは、むし歯や歯周病の進行、打撲などの外傷のほか、先天的な原因などにより歯を失った場合に、歯が抜け落ちたところの歯槽骨にインプラントと呼ばれるチタン製の歯根に人工の歯を埋め込む治療法です。
インプラント治療は、なくなった歯が一本の場合から、すべてなくなった場合まで有効です。
ICOI(国際インプラント学会)認定医によるインプラント治療
当院のインプラント執刀医である理事長の大多和は福岡県で50人ほどしかいないICOI(国際インプラント学会)認定医の資格を持っています。
今まで数多くの症例で培った治療技術の先進の設備を整え安心安全なインプラント治療をご提供しております。
歯周病や時間の経過で歯を支える骨が小さくなったり、薄くなっている場合は通常のインプラント治療が出来ず、他院では断られてしまったという患者さまも多く来院されます。当院ではサイナリフトやGBRといった技術で、失われた骨を再生してインプラント治療を可能にする技術がございます。まずはお気軽にご相談ください。
詳しくはこちらをご覧ください。

インプラントのメリット
インプラントに使われるチタンは、アレルギーも少なく、かみ合わせに耐えられる強度があります。チタンと骨が結合するのでしっかりと固定することができ、治療後は違和感がないため、天然の歯と変わらないかみ合わせを実現できます。
また、残っている他の歯を削ったり、装置をつけたりすることもありません。他の歯に負担をかけずに治療ができるのです。
違和感がない
インプラントは入れ歯のような異物感が無く、取り外す必要もありませんので、自分の歯と同じように自然に噛むことができます。
自然の歯と変わらない噛み心地
入れ歯はお口の中でも痛みを感じやすい歯茎が噛む力を支えているため、自然の歯の20%~30%の力でしか噛めません。しっかりと調整できていないと違和感が強いケースもあります。直接骨に固定するインプラントなら、自然の歯と同じ力で、しっかり、違和感なく噛むことができます。
周りの歯にやさしい
部分入れ歯等は、しっかりと固定するために隣の健康な歯にバネをかけて使用します。そのため、周りの健康な歯に負担が掛かったり、バネの部分にプラーク(歯垢)が溜まりやすくトラブルの原因になったりします。
インプラント治療は、入れ歯やブリッジ治療のように、周りの歯に負担を掛けることがないので、隣の歯を守ることにも繋がります。
他の治療法との違い
|
インプラント ![]() |
ブリッジ ![]() |
入れ歯 ![]() |
|
| 治療法 | 歯が抜け落ちたところの歯槽骨にインプラントと呼ばれるチタン製の歯根に人工の歯を埋め込む治療法です。 | ブリッジとは、なくなった歯の両隣の歯を削って橋げたとし、そこに橋を渡すように人口の歯をかぶせる治療法です。 | (部分入れ歯)なくなった歯の隣の歯に金属などのばねをひっかけて固定する治療法です。 (総入れ歯)歯が一本も残っていない場合の治療法です。プラスチックの土台に人工歯が固定されており、それを歯茎に装着します。 |
| メリット | ・周りの歯への負担が少ない ・見た目は天然の歯と違和感がない |
・保険適用で治療費を抑えられる ・天然の歯に近い使用感で、違和感が少ない |
・保険適用で治療費が抑えられる ・条件が厳しくなく、多くの場合で治療が可能 |
| デメリット | ・自由診療のため治療費が高額になる ・治療期間が長い |
・健康な歯を削る必要がある ・削った歯がむし歯や歯周病になるリスクが高まる |
・固定のばねが目立ち、見た目が悪い ・装着に違和感があることが多い |
インプラント治療の流れ
1インプラントカウンセリング 約30分~1時間
まずは皆様のお口の中をしっかりと検査致します。
検査の結果、インプラント治療に問題がなければ、インプラント治療の流れ、費用等をご説明致します。
治療内容、費用をご承諾いただけましたら治療を開始致します。
2治療前の精密検査
皆様のお口の状態をより精密に検査するため、CT写真を撮影します。
歯科用CTとは
CTとは、コンピュータを使用してデータを処理・画像を再構成、断層写真を撮影することができる装置です。
新しく開発された歯科に特化した最新装置で、より正確な診断に役立つことはもちろん、経過観察などにおいても非常に有効な装置です。
3インプラント埋入手術(1次オペ)
検査・診断結果を元に、インプラント体を骨へ埋入する手術(1次オペ)を行います。
患者さまのお口の状態に応じて、骨の造成治療(骨の高さや幅を追加する処置)を同時に行います。
インプラントを骨に埋め込みます。
手術は日帰りで、麻酔を使用しますので痛みも無く安心してお受けいただけます。
インプラントが周囲の骨と、しっかり結合するまで待ちます。
※インプラントが骨と接合する期間は、下顎ではおおよそ2~3ヶ月、上顎では4~6ヶ月です。(個人差があります。)
4インプラント埋入手術(2次オペ)
1次手術後、顎の骨とインプラントがしっかりと結合したことが確認できたら、埋め込んだインプラント体の上部を出し、人工の歯との連結土台を装着する手術を行います。
2次手術後、歯ぐきが治るまで、約1週間から6週間経過を観察します。
インプラントが周囲の骨としっかり結合した後、2次オペを行います。
埋め込んだインプラント体の頭の部分を露出させ、そこにアバットメントと呼ばれる人工の歯との連結土台を装着する手術を行います。
5人工の歯を装着~インプラント治療完了
2次手術の傷口が治りましたら、歯型を採り、インプラント体に被せる歯を作製します。
1~2週間後に人口の歯が完成し、インプラント体に装着して治療完了です。
※治療が終わった後は定期的なメンテナンスに通っていただきます。
インプラント治療後のメンテナンス
インプラント治療は外科手術であるため、治療を受けるには全身の健康状態が良好である必要があります。
また、治療期間は長く、保険適用外のため治療費は高額になりがちです。
治療の条件は、治療予定の場所に骨がしっかりとあることです。骨が足りないとインプラントを埋め込むことができないためです。骨が足りない場合は、骨移植手術を受ける必要があります。
治療後についても、毎日のケアが不十分であったり、定期的なメンテナンスを受けていないことで、インプラント周囲炎になる恐れがあります。インプラント周囲炎は、自然に治ることはないため、歯科医院で適切な処置を受けることが必要です。炎症が進行している場合は、インプラントを摘出する必要があったり、インプラントが突然抜け落ちてしまうことがあります。
インプラント治療によってこれらのような問題が起きないよう、正確な診断と定期的なメンテナンスが必要です。
よくある質問
インプラントの手術は痛みがありますか?
インプラント治療は、手術前にしっかりと局所麻酔を効かせてから行いますので、治療中は痛みもなく、安心してお受けいただけます。
治療費はどれくらいですか?
インプラント治療は自由診療ですので、保険適用外となります。 皆様のお口の状態や使用するインプラントの本数、インプラントに装着する人工歯の種類によって費用は異なりますので、詳しくは、スタッフにお気軽にご相談ください。
(参考目安:インプラント 1本=35万円~)
治療期間はどれくらいですか?
インプラント治療に要する期間は、一般的に上顎治療で約4~5ヶ月、下顎で約3~4ヶ月が必要です。患者さまによって個人差がありますので、目安より延びる場合もあります。
インプラント治療は誰でも受けられますか?
インプラント治療はほとんどの方に施術可能ですが、皆様の全身の状態、顎の骨の状態によっては治療に適さない方もおられます。
インプラント治療が出来ないケース
- 顎の骨が少ない、または骨の質がインプラント治療に適さない場合
- 手術中にお口が十分に開けられない方や、横になることが難しい方
- 重度の糖尿病、心臓疾患、血液疾患、重度の骨粗鬆症などの方
治療を受ける前のカウンセリングで詳しくご説明致します。
なお、顎の骨が少ない方の場合、インプラント治療前に、顎の骨を増やす手術をする場合もあります。
インプラント治療が終わったあとは?
インプラント治療が終わった後、埋め込んだインプラントを長持ちさせるためにはしっかりと継続してお口のケアが必要です。インプラント周辺が汚れてしまうと、顎の骨に炎症が起き、骨がやせて最後にはインプラントを抜かなくてはならなくなります。
ご家庭でのセルフケアだけでなく、定期的に当院でメインテナンスを行い、健康な状態を維持していきましょう。
料金について
価格はすべて税抜き表記です。
インプラントは自費診療です。
| インプラント手術+アバットメント+上部構造 | ¥400,000 |
|---|---|
| GBR(骨誘導再生) | ¥100,000 |
| ソケットリフト(GBR含む) | ¥100,000 |
| サイナスリフト(GBR含む) | ¥150,000 |
| TEC(仮歯) | ¥20,000 |
| インプラント診断料 (オペシュミレーション+CT代金含む) |
¥20,000 |
| サージカルステント | ¥50,000 |
| セデーション(静脈内鎮静) | ¥40,000 |
当院では、現金でのお支払いの他に、クレジットカード払いやデンタルローンなどをご利用いただけます。
分割でのお支払いも可能ですので、お支払い方法についてはご相談ください。
メーカーへのこだわり
インプラント症例紹介
インプラント治療におけるリスクや副作用の詳細説明については、本ページ下部をご参照ください
前歯部欠損症例
前歯は見た目が重要です。前歯によってお顔の印象がまったく違ってきます。
前歯をインプラント治療で綺麗に仕上げるためには、以下のような事が重要です。
- 正しい位置にインプラントを埋入する
- インプラント周囲の歯肉を整える
- 色、形が周囲の歯と調和した人工歯をつくる
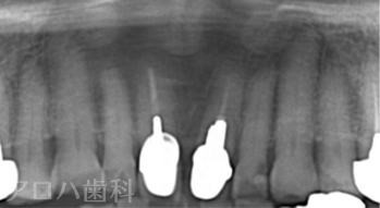
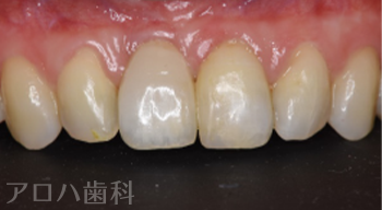
CASE01/60代女性
初診時


治療終了後3年時


| 主訴 | 左の前歯が折れた |
|---|---|
| 治療内容 | 左上前歯にお痛みがあり、土台を外したところ、破折により抜歯となった方です。 骨が薄かったため、抜歯と同時にインプラントを行う【抜歯即時インプラント】を行いました。 インプラント治療により歯があったときと変わらない状態に回復しました。 |
| 治療期間 | 1週間 |
| 治療費用 | 627,000円 |
| 費用詳細 | ・TEC 22,000円 ・サージカルガイド 55,000円 ・GBR 110,000円 ・インプラント手術+アバットメント+上部構造 440,000円 |
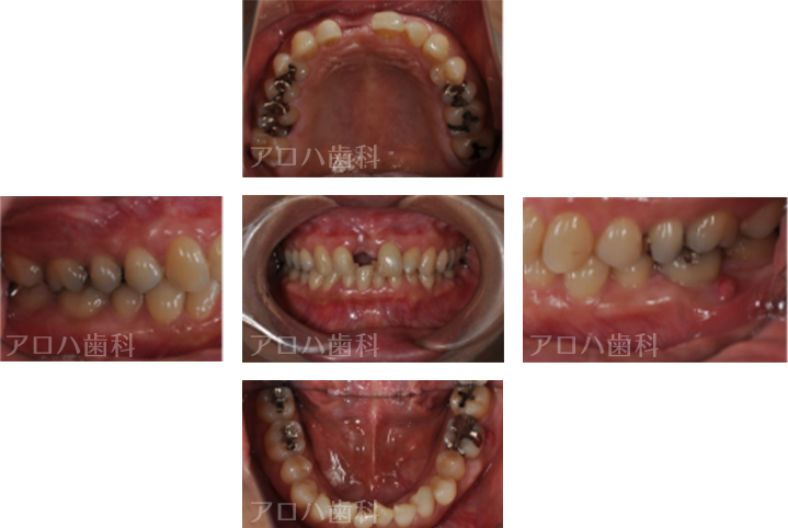
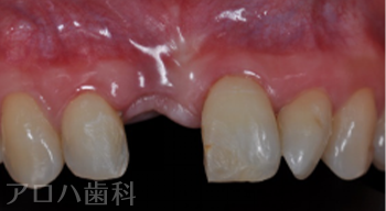
CASE02/30代女性
初診時



治療終了後3年時



| 主訴 | 右の前歯が折れた、矯正治療もしたい |
|---|---|
| 治療内容 | 転んで前歯を失った方です。 下の前歯もガタガタが気になるとのことで、矯正治療と並行してインプラント治療を行いました。 治療後3年間経過していますが、ほとんど骨吸収なく順調な経過をたどっています。 |
| 治療期間 | 6か月 ※矯正治療期間は別途 |
| 治療費用 | 605,000円 ※矯正治療費用は別途 |
| 費用詳細 | ・サージカルガイド 55,000円 ・GBR 110,000円 ・インプラント手術+アバットメント+上部構造 440,000円 |
臼歯部欠損症例
臼歯はとても大きな力がかかる部分なので正しい位置にインプラントを埋入することが重要です。
また、インプラント周囲の歯肉をコントロールすることにより食べ物がつまりにくい仕上がりになります。
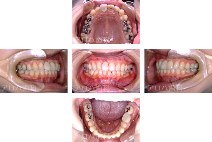
CASE01/50代男性
初診時


治療終了後5年時


| 主訴 | 左の奥歯が噛めない |
|---|---|
| 治療内容 | 下顎臼歯3歯欠損をインプラントで修復しました。 デジタル機器を使いコンピュータで理想的な歯の形態を設計。 歯ぐきに隙間が出来る事なく修復できました。 |
| 治療期間 | 3ヶ月 |
| 治療費用 | 1,375,000円 |
| 費用詳細 | ・サージカルガイド 55,000円 ・GBR 110,000円 ・インプラント手術+アバットメント+上部構造(3歯) 1,320,000円 |
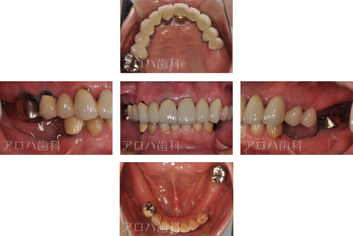
全顎的インプラント治療
全顎的インプラント治療は難度が高い治療です。
正しい位置に、バランス良く、正しい角度でインプラントを埋入することが重要です。骨や歯肉がやせてしまっている場合は再生治療を併用する必要があります。極度に歯肉がやせている場合は人工歯肉を使って見た目を回復することもあります。
また、長期的にメインテナンスを行う為にスクリュー固定式上部構造にすることが理想的
CASE01
初診時


治療終了後5年時


| 主訴 | 入れ歯をやり替えたい |
|---|---|
| 治療内容 | 上下顎とも状態が悪い歯を抜いて奥歯をインプラントで修復しました。 前歯は患者さまの希望のもとそのままにしています。 上顎は骨の高さが足りなかったため、【サイナスリフト】という特殊な手術を行い骨の高さを獲得しています。 術後経過もメインテナンスに通っていただいており、良好な状態を保っています。 |
| 治療期間 | 1年6ヶ月 |
| 治療費用 | 5,060,000円 |
| 費用詳細 | ・サイナスリフト(2か所) 660,000円 ・セデーション(静脈内鎮静法) 110,000円 ・TEC(仮歯) 220,000円 ・インプラント手術+アバットメント+上部構造(9歯) 3,960,000円 ・ポンティック(1歯) 110,000円 |
インプラント治療におけるリスクや副作用の詳細説明
一般的にインプラント治療には以下のようなリスクがあります。その有無や程度は、症状や個人差によって異なります。
外科手術
インプラント埋入は侵襲の差こそあれ、いずれも外科手術が必要となります。口腔や顎骨に関わる外科手術によって以下①~③が生じるリスクがあります。
①神経の圧迫や損傷による麻痺
②血管損傷による多量出血
③術後の腫れと内出血によるあざ
腫れやあざは、多くの場合時間の経過とともにひいていきます。もし痛みがある場合は、鎮痛剤などの処方を行います。なるべく低侵襲な治療法を選択することで、負担の少ない治療を行います。
神経損傷などのリスクを回避するために、当院ではCT撮影による精密診断で神経や血管の位置をより正確に把握し、治療計画を立てています。
顎骨・歯周組織の影響
患者さまの顎骨や歯周組織の状態によっては、インプラント埋入ができない場合があります。また埋入した場合でも、治療後の成功率や予後に差が生じます。
もし顎骨や歯周組織が吸収、退縮してしまっている場合は、骨造成や骨移植などの手術を併用します。しかしながら、骨の質が硬すぎる、あるは軟らかすぎる場合は、埋入後のインプラントが抜け落ちてしまうというリスクがあます。骨の質は個人差があり、精密検査ですべてを把握することができない場合もございます。
当院では安心して治療を受けていただくために、リスクや副作用の詳細説明と、具体的な治療計画をご説明しております。
メインテナンス
インプラント自体はむし歯になることはありませんが、支える歯肉は歯磨きなどのケアを怠ると歯周病のように炎症を起こし、やがて顎骨まで溶けてしまう場合がございます。
このような症状をインプラント周囲炎といい、重度に悪化すると、インプラントが抜け落ちてしまいます。インプラント周囲炎を防ぐため、治療中や治療後に毎日ご自宅で正しい口腔ケアを続け、治療完了後も定期的に通院してメインテナンスやクリーニングを受け、良好な状態を維持していただく必要があります。
噛み合わせも日々変化し、治療当時の状態が続くわけではないので、当院では治療後も定期的に噛み合わせのチェックを実施しています。
※掲載されている症例はすべて、当院理事長【大多和昌人】が執刀を行い治療完了後に、サイト掲載の許可をいただいた患者さまのものです。
症例写真はトリミング(切り抜き)などを除き、画像の加工等は行っていません。
治療はすべて各患者さま固有の症例に対応したものであり、ほかの方への治療結果を保証するものではありません。








インプラントは長期間にわたってお口の中に留まるものだからこそ、安全性や耐久性が重要です。














